您好,欢迎访问徐州瑞声超影电子科技有限公司官方网站!服务热线:0516-83556123 手机:17768256673 中文|English
兽用B超机生产销售厂家 产品通过CE、FDA等国际认证
您当前的位置:首页 资讯动态 行业动态

用B超机检测牛黄体的超声图像

发布者:超级管理员 来源:本站 发布时间:2022-06-30 已访问:362 次

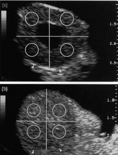
图片1.png

上图中具有中心腔 (a) 或无腔 (b) 的牛黄体的图像分析技术。黄体与间质由箭头划分。每个黄体的图像被分成四个相等的象限。通过放置一个覆盖每个象限大约 20% 的测量点(圆圈)来测量像素值。像素值是落在测量点下的所有像素的灰度值的平均值。超声图像上的刻度以厘米为单位。

图片2.png

母牛黄体的发育和退化

黄体直径(通过超声测量)从发情中期到发情中期增加,并在发情前期随着消退而减小(图2a)。类似地,黄体质量从发情中期的 1.7 ± 0.2 g 增加(P<0.001)至发情前期的 3.9 ± 0.3 g 和发情中期的 5.1 ± 0.5 g,随后在发情前期减少至 3.1 ± 0.5 g。 黄体直径与黄体质量高度相关(r = 0.74< 0.05)。